为了拥有整齐的牙齿和舒展的笑容,很多人选择了口腔正畸治疗。在与牙套亲密接触的过程中,有些人发现自己的牙龈变大变鼓了,按一按也不痛,还挺瓷实。这种情况被称为牙龈增生。 牙龈增生是什么原因引起的……

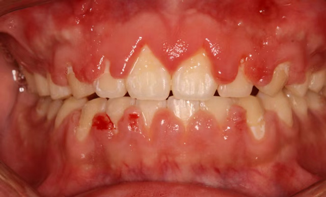
为了拥有整齐的牙齿和舒展的笑容,很多人选择了口腔正畸治疗。在与牙套亲密接触的过程中,有些人发现自己的牙龈变大变鼓了,按一按也不痛,还挺瓷实。这种情况被称为“牙龈增生”。
牙龈增生是什么原因引起的呢?有无危害,需要治疗吗?今天,我们邀请新桥口腔成都总院正畸专家杨艳副主任医师就大家关心的问题一一作答。
牙龈增生因何而起?
杨艳(副主任医师):从目前的临床经验来看,主要有三个方面的原因:清洁、药物、过敏。
最常见的原因是第一个,口腔清洁做得不好。固定矫正治疗期间,由于托槽和弓丝容易挂住食物,需要在餐后做好刷牙等口腔清洁工作,如果清洁不到位,大量的食物残渣会留在牙齿和牙龈上,为细菌提供了温床,长期这样会引起牙龈炎,直至牙龈增生。

第二个原因是药物的影响。一些降压药物,治疗心脏病、癫痫的药物会引起牙龈增生,这属于药物副作用。大家不要觉得中老年人才会有高血压,目前,我国成年人中高血压发病率偏高,且有年轻化趋势。我也遇到过一些来做矫正的青少年高血压患者,以原发性高血压居多。
最后一个比较小众的原因是:患者对金属矫治器过敏。这种情况虽然极少发生,还是有必要给大家科普一下。
正畸治疗分为固定矫正和隐形矫正两个大类,固定矫正会使用托槽和弓丝,托槽的材料一般是金属或生物陶瓷,弓丝是镍钛合金,隐形牙套的材料是生物树脂。极个别患者可能存在对金属过敏的情况,我曾经有位患者就对镍过敏。

哪些人容易牙龈增生?
杨艳(副主任医师):牙龈增生主要发生在固定托槽矫正人群中。以我的个人经验,十年多前牙龈增生是比较多的,随着患者口腔清洁意识的提高,还有矫治器的更新换代,现在在成年人中已经不常见了,在儿童和青少年里发生得更多一些。
至于原因,一方面是因为儿童对刷牙方法掌握得不好,或是没有做到每次吃完东西都清洁牙龈,另一方面也和激素有关,处于生长发育期的青少年由于激素相对紊乱,更容易出现口腔内的感染。

牙龈增生要治疗吗?
杨艳(副主任医师):牙龈增生对于矫正治疗没有明显的影响,它主要是影响美观,特别严重的可能会影响到咀嚼。
轻度的牙龈增生,一般在拆除托槽后可以逐步恢复。如果矫正治疗尚未结束,我们除了给患者强调要好好刷牙以外,还会给予药物牙膏和涂抹外用药物进行消炎治疗,并根据需要进行龈上洁治(洁牙),龈下洁治(刮除龈下结石)。
对于增生达到一定程度的患者,可以通过切除增生部分来治疗。
有一点需要提醒大家,有些患者在矫正的初期会出现牙龈增生,随着治疗的推进,牙齿排列逐渐变得整齐,增生情况会有所好转。特别是牙齿拥挤错乱比较严重的患者,平时就不容易清洁干净,牙周情况不好,刚开始矫正时更容易发生增生。
牙龈增生能预防吗?
杨艳(副主任医师):我们会从几个方面去预防。首先,矫正开始前会评估患者口腔的清洁情况,按需要安排洁牙。有些人因为口腔菌群、水质等原因,更容易形成牙结石,我甚至见过七八岁的孩子就有牙结石的,这样一些人群在矫正前洁牙非常有必要。
我们还会教给患者正确的口腔清洁方法,在整个治疗过程中也会反复强调清洁这件事,每次复诊都会检查有无龋齿、牙龈增生等问题,发现问题后会及时处理。
除了关注矫正前的口腔清洁状况,我们医生在设计矫正方案时,也会通过综合评估患者的口腔健康状况、清洁习惯以及病史、用药等相关因素,鉴别存在牙龈增生高危因素的患者。如果不能采取其他有效措施,会建议患者选择隐形矫正方案。隐形矫正的适应证里,就包含了容易发生龋坏和牙周问题的患者。

举个例子,一位需要长期服用会引起牙龈增生药物的患者想做矫正,经过相关专科医生的评估不能换药或停药,我们就不建议采用固定托槽来矫正了,更建议用隐形牙套。对于有过敏体质的人,或明确对固定托槽材料成分过敏的矫正患者,我们也更建议采用隐形矫正方案。
总之,对于牙龈增生,我们可以多管齐下去预防和处理。对这个在矫正路上可能发生的“小插曲”,大家不必太过担心。
